Medical Aesthetics   musculoskeletal Rehabilitation 

side to side comparison demonstrating gastrocnemius tendinopathy missed on MRI

Frayed Biceps tendon

Genicular nerve


Carpal Tunnel Injection

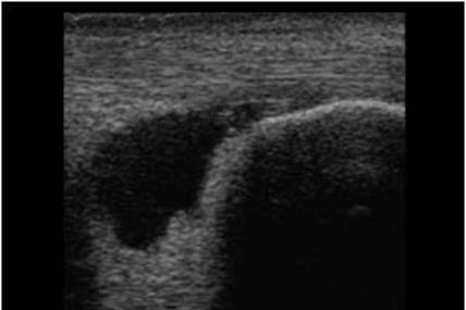
Achilles Tendon

Calcaneus

Retrocalcaneal Bursitis.

Articular surface supraspinatus tear demonstrating a "cartilage interface" sign. 

Elbow joint effusion and frayed radial collateral ligament. 

Lateral epicondyle on the left; Radial head on the right. 


Interscalene brachial plexus visualization for brachial plexus block

Medial collateral ligament tear extending to edge of the medial meniscus. Unseen on MRI, diagnosed by ultrasound

First carpo-metacarpal joint.  Arrow demonstrating injection trajectory

humeral head lesion secondary to anterior shoulder dislocation